Hautbildverjüngung
Zu den Hautbildverjüngenden Effekten bei der Behandlung von Pigmentflecken und Ektasien mit IPL kommt eine hautstraffende Wirkung hinzu. Die Anregung von Kollagenaufbau und Kollegenfaserstraffung durch hochintensives Licht spielen hierbei eine Rolle.
Kollagenfasern befinden sich vor allem im Bereich der Dermis. Sie sind für den Zusammenhalt der Hautzellen und letztendlich für die Straffheit der Haut und deren Erscheinungsbild verantwortlich. Mit zunehmendem Alter bauen sich Kollagenfasern ab und verlieren zusätzlich Ihre bündelartige, laminare Struktur und damit straffende Wirkung. Dies wird vor allem durch extensive UV-Licht Exposition beschleunigt.
Eher zufällig hat man beobachtet, dass sich das Hautbild nach Laser oder IPL-Behandlungen sichtbar verbessert. Die genauen Ursachen sind aber noch relativ unerforscht. Bei der ablativen Laserbehandlung von Hautfalten, wird durch die Zellneubildung auch eine Kollagenneubildung und Straffung angeregt. Bei nicht ablativen Behandlungen mit IPL hat man aber ähnliche Effekte beobachtet. Diese straffende Wirkung kann über mehrere Monate anhalten.
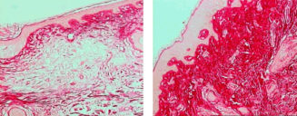
Mimikfalten und tiefe Hautfalten lassen sich nicht verbessern. Nur kleinere, oberflächliche Falten werden sichtbar reduziert. Untersuchungen an Hautbiopsien vor und nach IPL-Behandlungen haben eine deutlich sichtbare Neubildung und Neuformatierung des Kollagens gezeigt.

Biopsie vor und nach GEM-PL-Behandlung (eingefärbt mit Porosities Rot)

Kollagen-Neuformation in laminare Bündel (schematische Darstellung)